医院动态

了解医院最新资讯

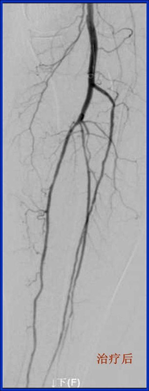
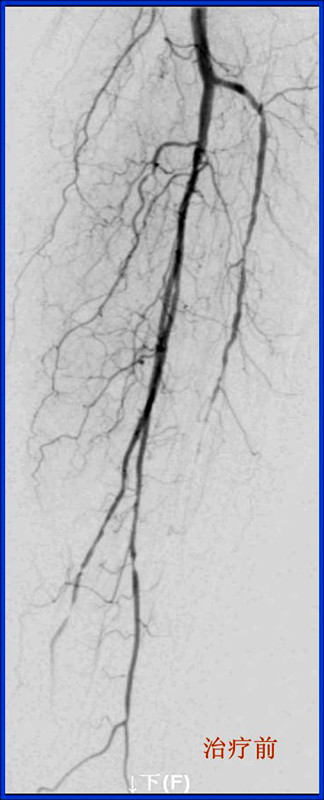
我院成功开展下肢动脉介入手术

作者: 来源:中医外科 发布时间:2013/8/28 7:40:51

   

         8月26日下午,我院中医外科叶海东医生和心内科潘兴丰医生合作,在放射科和手术室人员的协助配合下,成功完成了2例下肢动脉造影+球囊扩张术。据悉,这是我院首次完成血管腔内介入手术。

      

     

版权所有:温州市中医院 Copyright (C) 2005-2012 www.wzszyy.com All rights reserved 浙WWS标2011022800010号 浙ICP备15041147号-1 浙ICP备15041147号-2 技术支持:联科科技